Zirconio Zirconfit
Es una marca exclusiva de Prótesis, S.A.
El óxido de zirconio estabilizado con itrio es utilizado en odontología para la confección de prótesis fijas y pilares para implantes.
Se puede realizar tanto en piezas completas o monolíticas como con recubrimiento por capas de cerámica.
El óxido de zirconio es actualmente la cerámica sin metal más resistente para aplicaciones dentales.
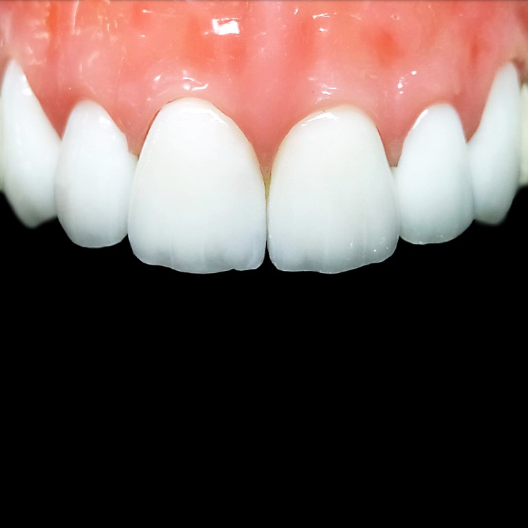
El zirconio Zirconfit es conocido por su capacidad para proporcionar soluciones duraderas y altamente estéticas, especialmente en áreas donde se requiere una combinación de fortaleza y apariencia natural. Combina la durabilidad y biocompatibilidad del zirconio con técnicas de estratificación para obtener una apariencia más natural y estética
Características del Zirconio Zirconfit
- Alta Resistencia: Su resistencia a la fractura y al desgaste es una de sus principales ventajas
- Estética Natural: Aunque el zirconio es conocido por su opacidad, Zirconfit ha sido diseñado para ofrecer una mejor estética gracias a su capacidad de imitar la translucidez de los dientes naturales, La combinación de zirconio y la estratificación ofrece una estética superior, ya que el núcleo de zirconio proporciona la resistencia necesaria, mientras que las capas de porcelana permiten personalizar el color, el brillo y la opacidad
- Biocompatibilidad: Zirconfit es un material biocompatible, lo que significa que está bien tolerado por los tejidos orales y es menos propenso a causar reacciones alérgicas o inflamación.
- Estabilidad Dimensional: Zirconfit mantiene su estabilidad dimensional a lo largo del tiempo
- Menor Riesgo de Irritación Gingival: Gracias a su biocompatibilidad y a la precisión en su ajuste, las restauraciones de zirconio Lava reducen el riesgo de irritación de las encías y problemas relacionados con la acumulación de placa.
Ventajas
- Durabilidad Extrema: Zirconfit es altamente resistente a la fractura y al desgaste, lo que garantiza una larga vida útil para las restauraciones.
- Estética Mejorada: A pesar de su resistencia, Zirconfit ha sido diseñado para ofrecer una mejor estética en comparación con otros tipos de zirconio, lo que lo hace ideal para restauraciones visibles.
- Biocompatibilidad Superior: Su alta biocompatibilidad minimiza el riesgo de reacciones adversas en los tejidos orales.
- Precisión Digital: Compatible con sistemas CAD/CAM, Zirconfit permite crear restauraciones dentales con un ajuste perfecto y un proceso de fabricación eficiente.
- Versatilidad: Es adecuado para una amplia gama de aplicaciones dentales, desde coronas individuales hasta puentes complejos, nunca se debe realizar cuando hay más de dos pónticos.
Aplicaciones
Es la mejor opción para restauraciones anteriores que precisan una alta estética y resistencia es válido tanto en carillas, coronas, puentes e implantes.
Productos relacionados
Explora nuestra gama de productos complementarios diseñados para ofrecer soluciones integrales y personalizadas en el campo de la odontología avanzada. Cada producto ha sido cuidadosamente seleccionado para asegurar la máxima calidad, funcionalidad y satisfacción del paciente.






