Descripción
Ventajas
Aplicaciones
Contacto
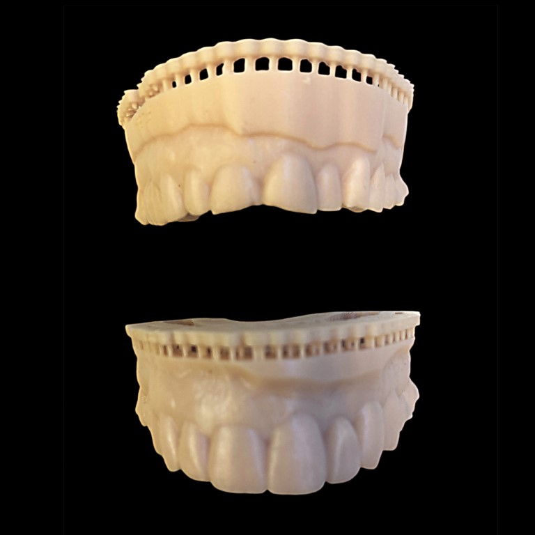
Las férulas para guía de carillas dentales de composite son dispositivos que permiten la colocación precisa y controlada de carillas dentales hechas de material compuesto,. Estas férulas son esenciales para lograr resultados estéticos uniformes y funcionales en tratamientos de restauración dental directa.
Características de las Férulas para Guía de Carillas de Composite
Diseño Personalizado:
- Cada férula se diseña específicamente para la boca del paciente, utilizando impresiones físicas o escaneos digitales de sus dientes. Esto asegura que la férula se ajuste perfectamente a la anatomía dental del paciente y guíe de manera precisa la aplicación del composite.
- Las férulas para guía de carillas de composite están diseñadas para ayudar a los dentistas a colocar y modelar el composite en la posición exacta, siguiendo el plan estético del tratamiento.
Materiales Flexibles y Transparentes:
- Están fabricadas con materiales transparentes lo que permiten una visualización clara durante el procedimiento.
- Los materiales flexibles facilitan la colocación y remoción de la férula, permitiendo al dentista trabajar con precisión sin dañar el composite o los dientes del paciente.
Precisión en la Aplicación:
- Ayuda a aplicar el composite directamente sobre el diente a través de los orificios, en la posición y forma exactas, garantizando que el resultado sea simétrico y estéticamente agradable.
- También asegura que la cantidad de material aplicado sea la correcta, evitando el exceso o la falta de composite, lo que puede afectar tanto la estética como la funcionalidad del tratamiento.
Utilización en Procedimientos Directos:
- Permite moldear y esculpir el composite de manera más eficiente y precisa.
Ventajas
- Precisión en la Estética: Permiten lograr un alineamiento perfecto y una simetría adecuada en la colocación de las carillas de composite, lo que resulta en una sonrisa más natural y atractiva.
- Reducción del Tiempo de Procedimiento: Ayudan a optimizar el proceso de aplicación del composite, haciendo que el procedimiento sea más eficiente y menos propenso a errores.
- Flexibilidad en el Diseño: Las férulas pueden adaptarse a diferentes tipos de carillas, ya sean para un solo diente o para múltiples dientes, facilitando tratamientos que involucren desde una pequeña corrección hasta una transformación completa de la sonrisa.
Aplicaciones
- Guía para la Modelación: Estas férulas actúan como moldes que guían la colocación del composite en la superficie dental. Esto es fundamental para asegurar que las carillas se adapten correctamente a la forma y tamaño de los dientes adyacentes.
- Facilitación del Proceso de Estratificación: En procedimientos de carillas de composite, se suele trabajar en capas o estratos de material para lograr un aspecto estético más natural y una mayor durabilidad. La férula guía permite aplicar estas capas de manera uniforme y controlada.
- Optimización del Tiempo de Tratamiento: Al proporcionar un esquema claro para la aplicación del composite, la férula reduce el tiempo de trabajo, ya que facilita la colocación y modelación precisa del material.
Productos relacionados
Explora nuestra gama de productos complementarios diseñados para ofrecer soluciones integrales y personalizadas en el campo de la odontología avanzada. Cada producto ha sido cuidadosamente seleccionado para asegurar la máxima calidad, funcionalidad y satisfacción del paciente.





